¿Te gustaría lucir una sonrisa más atractiva? Las carillas dentales son una de las mejores soluciones estéticas para corregir defectos en los dientes, como manchas, pequeñas fracturas o espacios entre ellos. En la Clínica Dental Pilar Henrique en Zaragoza, ofrecemos tratamientos con carillas dentales de alta calidad para transformar tu sonrisa de manera natural y duradera.
¿Qué son las carillas dentales?
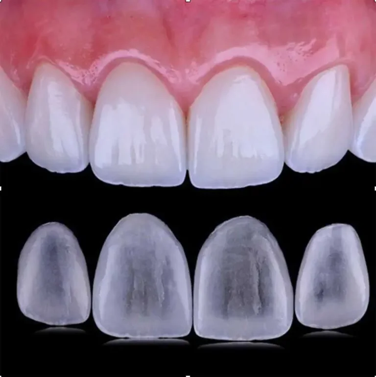
Las carillas dentales son finas láminas de porcelana o composite que se adhieren a la parte frontal de los dientes para mejorar su apariencia. Se utilizan para corregir el color, la forma, el tamaño o la alineación de los dientes, logrando un aspecto completamente natural. En nuestra clínica en Zaragoza, trabajamos con materiales de última generación para garantizar resultados duraderos y estéticos.
¿Cuándo es recomendable optar por carillas dentales?
Las carillas dentales son ideales para pacientes que desean mejorar aspectos estéticos de su sonrisa. Algunas de las razones más comunes para optar por carillas dentales en Zaragoza incluyen:
- Manchas o decoloración que no responden a tratamientos de blanqueamiento.
- Dientes fracturados o astillados.
- Dientes desalineados o con ligeros espacios entre ellos.
- Dientes desgastados o de forma irregular.
Tipos de carillas dentales
En la Clínica Dental Pilar Henrique, ofrecemos dos tipos de carillas dentales:
- Carillas de porcelana: Son las más resistentes y duraderas, con un acabado muy natural. Requieren una preparación mínima del diente y son perfectas para obtener resultados a largo plazo.
- Carillas de composite: Son más asequibles y se aplican directamente en el diente, sin necesidad de laboratorio. Aunque son menos duraderas que las de porcelana, ofrecen una solución estética rápida y efectiva.
Ventajas de las carillas dentales
Optar por carillas dentales en Zaragoza te proporcionará múltiples beneficios:
- Mejora inmediata de la estética: Las carillas pueden transformar tu sonrisa en pocas sesiones.
- Aspecto natural: Gracias a la personalización, las carillas se adaptan perfectamente a la forma y color de tus dientes.
- Durabilidad: Con el cuidado adecuado, las carillas de porcelana pueden durar más de 10 años.
- Minimización de imperfecciones: Las carillas ocultan manchas, pequeñas fracturas y desalineaciones, creando una sonrisa uniforme.
¿Cómo es el procedimiento de colocación de carillas dentales?
El proceso de colocación de carillas dentales en Zaragoza es rápido y sencillo:
- Evaluación inicial: En la primera consulta, realizamos un análisis detallado de tu sonrisa y te explicamos las opciones disponibles.
- Preparación del diente: Se retira una pequeña cantidad de esmalte dental para asegurar que las carillas se adhieran correctamente.
- Toma de impresiones: Para las carillas de porcelana, tomamos moldes que se envían al laboratorio. Mientras, colocamos carillas provisionales.
- Colocación final: En la siguiente cita, se cementan las carillas permanentes en los dientes, logrando un acabado estético perfecto.
Precio de las carillas dentales en Zaragoza
El coste de las carillas dentales en Zaragoza puede variar según el material elegido y la cantidad de carillas necesarias. En la Clínica Dental Pilar Henrique, te ofrecemos un presupuesto personalizado y opciones de financiación para que puedas acceder al tratamiento sin problemas económicos.
Cuidados después del tratamiento
Una vez colocadas las carillas dentales, es importante seguir una serie de cuidados para mantener su buen estado:
- Evita morder alimentos duros o abrir objetos con los dientes.
- Mantén una buena higiene bucal cepillando y usando hilo dental regularmente.
- Realiza revisiones periódicas en nuestra clínica para asegurarte de que tus carillas se mantengan en perfecto estado.
¿Por qué elegir la Clínica Dental Pilar Henrique para tus carillas dentales en Zaragoza?
En la Clínica Dental Pilar Henrique, contamos con un equipo especializado en estética dental que te acompañará durante todo el proceso de colocación de carillas dentales. Utilizamos materiales de alta calidad y técnicas avanzadas para garantizar resultados óptimos, naturales y duraderos. Nuestra prioridad es que salgas de la clínica con una sonrisa que te haga sentir seguro y feliz.
Contacta con nosotros
Si estás considerando mejorar tu sonrisa con carillas dentales en Zaragoza, no dudes en contactarnos. En la Clínica Dental Pilar Henrique, te ofrecemos una primera consulta para evaluar tu caso y ofrecerte la mejor solución para ti.

